Precision Dental Craftsmanship for Lasting Smiles
Dental Lab Services in santa maria, ca
Affordable and Flexible Pricing Options | Pacific Dental Arts
Pacific Dental Arts is committed to providing affordable, high-quality dental care. We offer transparent pricing options tailored to meet your specific needs. Our flexible solutions ensure you get the care you deserve without exceeding your budget. Trust us to keep your smile healthy and beautiful with personalized care plans.
OVER 30 YEARS OF EXPERIENCE
Exceptional Dental Lab Services
For over three decades, Pacific Dental Arts has partnered with dental professionals to deliver high-quality restorations using advanced technology and expert craftsmanship. From crowns and bridges to dentures and implants, including All-on-X, we pride ourselves on fast and reliable service tailored to the needs of your practice. Our Santa Maria-based lab ensures that every restoration meets the highest standards, helping your patients leave smiling.
WE OFFER A DIVERSE RANGE OF
Professional Dental Lab Solutions
At Pacific Dental Arts, we provide a full range of dental lab services, including esthetic zirconia, PFM restorations, implants, and removable appliances. Our team of skilled technicians stays up-to-date with the latest advancements, ensuring that each product we craft meets the precise needs of your practice. From single crowns to full-arch restorations, we are your trusted partner for high-quality, reliable dental solutions.
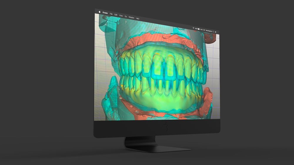
PRECISION & Innovation
Advanced Dental Technology
We utilize state-of-the-art tools and techniques to deliver accurate, high-quality dental restorations. Our commitment to cutting-edge technology ensures precise, reliable results for every case. From custom crowns to complex implants, our innovations help keep your practice at the forefront of dental care.
TAILORED TO YOUR NEEDS
Dental Restorations That Fit Your Unique Practice
At Pacific Dental Arts, we understand the uniqueness of every practice and patient. We work closely with dental professionals to provide customized solutions that meet specific needs. Our personalized approach ensures that every restoration is crafted with care, precision, and attention to detail, allowing you to offer the best possible outcomes for your patients.
FAST & RELIABLE SERVICES
Five-Day In-House Turnaround
We know time is critical for your practice, which is why we offer a 5-day in-house turnaround on most cases without compromising quality. Whether it’s a crown, bridge, or removable appliance, our team ensures quick, precise results, allowing you to keep your patients on schedule and satisfied.
UTILIZING THE LATEST ADVANCEMENTS
Digital & Traditional Excellence
Our versatile team excels in both digital and traditional workflows, offering a perfect blend of cutting-edge dental technology and time-honored craftsmanship. By utilizing the latest advancements in dental innovation, paired with our deep expertise in traditional techniques, we ensure that every restoration is completed with precision, reliability, and aesthetic excellence.
Specialty Services
Trusted All-on-X Solutions
Our all-on-x full-arch restorations provide a reliable, cost-effective solution for dental practices seeking durable and life-changing results. With a reputation for precision and quality, our lab offers custom All-on-X restorations that are tailored to your patients' specific needs. Partner with us for affordable excellence that enhances your practice’s reputation.
always Delivered with Care
Personalized Dental Services for You
At our core, we're a Main Street business that values personal relationships. We treat our partner dentists as individuals, ensuring they receive the same level of attention, care, and reliability as a trusted team member. With a focus on personalized service, we build strong partnerships, providing consistent support and dependable solutions tailored to meet their unique needs.
Dental professionals have confidence in us
Read Testimonials From Our Satisfied Clients
Teamwork Makes the Dream Work
Meet the Team at Pacific Dental Arts, Inc.
At Pacific Dental Arts we believe everyone deserves a beautiful smile, and our staff is committed to making their dreams a reality every time. With over 25 years of experience each, we don't just hit the bar; we set it.
Frequently Asked Questions
Got a question? We’re here to help. Call us at (805) 928-0345 for more information.
Contact Us Today
Whether you're looking for a new restoration, a replacement, or a repair, our team of dental experts has got you and your dental needs covered.
Contact Us
Business Hours
Monday - Friday
8 AM - 5 PM
Saturday to Sunday
Closed
Our Location
Office Location
3130 Skyway Drive #701. Santa Maria, CA 93455
Dental Lab

















